Prof. Dr Syeda Shaista Waheed, Best Gynecologist in Lahore | Infertility Specialist | Laparoscopic Surgeon
MBBS, FCPS (Obstetrician-Gynecologist)Â Â
Experience world-class dental care with Lahore’s most trusted dentist and maxillofacial surgeon. Dr. Ijaz Ur Rehman combines 18+ years of expertise with state-of-the-art technology to deliver exceptional results for all your dental needs.
Top Rated Dentist in Lahore
Who is Dr. Ijaz Ur Rehman?
Dr. Ijaz Ur Rehman stands out as Lahore’s premier dental specialist, offering a unique combination of general dentistry and advanced maxillofacial surgery under one roof. Since establishing his practice in 2010, he has become the go-to dentist in Lahore for patients seeking comprehensive oral healthcare.
Exceptional Qualifications
- BDS from DeMontmorency College of Dentistry, Lahore
- FCPS (Oral & Maxillofacial Surgery) from College of Physicians & Surgeons Pakistan
- Assistant Professor with extensive academic and clinical experience
- 18+ years of successful practice in hospital and private settings
Dr. Ijaz offers both routine dental care and complex surgical procedures. Whether you need a simple dental filling or advanced dental implant surgery, you receive expert care from a single, trusted professional.
Dr. Ijaz has successfully treated patients across Lahore, earning reputation as the best dentist in Lahore for both routine and complex dental procedures. His expertise in wisdom tooth removal, dental crowns, and cosmetic dentistry has transformed countless smiles.
Our Most Requested Dental Services
🦷 Dental Implants
As a certified dental implant specialist in Lahore, Dr. Ijaz offers permanent tooth replacement solutions. Our dental implants provide natural-looking results that last a lifetime. We offer single tooth implants, multiple implant procedures, full arch restoration (All-on-4), bone grafting, and immediate placement when possible. Transform your smile with the gold standard for tooth replacement.
🦷 Wisdom Tooth Surgery
Dr. Ijaz specializes in wisdom tooth removal using advanced surgical techniques for pain-free extractions. As an experienced oral surgeon, he handles both simple and complex wisdom tooth procedures. Our services include surgical removal of impacted teeth, same-day procedures with modern anesthesia, and comprehensive post-operative care for faster healing.
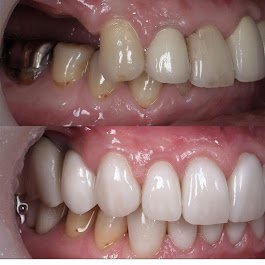
👑 Dental Crowns and Bridges
Our dental crowns in Lahore are crafted using premium materials for natural-looking, long-lasting results. Dr. Ijaz’s expertise ensures perfect fit and aesthetics. We offer porcelain and ceramic crowns, dental bridges, same-day procedures, and implant-supported crowns. Restore your smile’s beauty and function with our expertly crafted crowns and bridges.
✨ Teeth Whitening
Achieve a radiant smile with our professional teeth whitening treatments in Lahore. Dr. Ijaz offers safe, effective whitening solutions including in-office bleaching and custom take-home trays. Our professional treatments deliver faster, more effective results than over-the-counter products with enamel protection and long-lasting brightness.
🔧 Dental Fillings
Our dental fillings in Lahore use tooth-colored composite materials that blend seamlessly with natural teeth. Dr. Ijaz provides comfortable, precise treatment for all cavity types. We offer mercury-free fillings, amalgam replacement, large cavity restoration, and same-day procedures with natural-looking, durable results.
🧽 Scaling and Polishing
Maintain optimal oral health with our comprehensive scaling and polishing services in Lahore. Dr. Ijaz provides thorough cleaning that removes plaque, tartar, and stains. Our services include professional deep cleaning, gum disease treatment, stain removal, and preventive education to keep your smile healthy and bright.
🚑 Maxillofacial Trauma
As a specialized maxillofacial surgeon in Lahore, Dr. Ijaz is expert in facial trauma management and emergency procedures. Our maxillofacial trauma services include treatment of facial fractures, jaw injuries, dental trauma, and soft tissue injuries. We provide immediate emergency care with surgical reconstruction and comprehensive follow-up for optimal healing and function restoration.
🦴 TMJ Disorders Management
Dr. Ijaz specializes in TMJ treatment in Lahore for temporomandibular joint disorders causing jaw pain and dysfunction. Our comprehensive TMJ disorders management includes diagnostic evaluation, non-surgical treatments, and surgical interventions when necessary. We address jaw pain, clicking sounds, limited jaw movement, and related symptoms with personalized treatment plans for lasting relief.
Comprehensive Dental Care
Cosmetic Dentistry
- Smile Design
- Veneers
- Teeth Whitening
- Bleaching
- Jewel Teeth
- Aesthetic Crown And Bridges
- Dentures
- Artifical Teeth
- Root Canal
- Rotary Rct
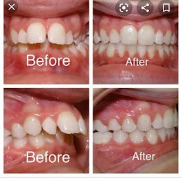
Orthodontics
- Braces
- Lingual Orthodontics
- Ceramic Braces
- Invisible Braces
- Metal Braces
Oral & Maxillofacial Surgery
- Disimpactions
- Facial and Jaw bone disorders and fractures
- Oral Cysts and tumors
- Orthognathic Surgery
- Bone Crafting
- Implants
- Dental Implants
General & Preventive Care
- Teeth Cleaning
- Gums Treatment
- Scalling
- Billings







